Cabinet d'Orthodontie Léman Sourire
Orthodontiste à Ferney Voltaire Dr Sophie Favero
Cabinet d'Orthodontie Léman Sourire

Centre d'Aumard 41 B Avenue du Jura
01210 Ferney-Voltaire

Orthodontiste à Ferney Voltaire Dr Sophie Favero

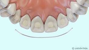
Fil de contention


video-play-icon

Articles similaires

Création par Webdentiste

Connexion